XGEO GU60 digitális U-karos röntgen készülék
XGEO GU60 digitális U-karos röntgen készülék
XGEO GU60 színes LED állapotjelzővel
XGEO HU60 érintőképernyője (12-colos)
Kézfejről készült kép - XGEO GU60
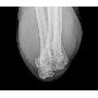
Kézről készült kép - XGEO GU60
Lábfejről készült felvétel - XGEO GU60
Térdről készült kép - XGEO GU60
Esetkép - XGEO GU60